Transform Your Smile with Dental Veneers in Hemet

Smile Makeover With Porcelain Versus Composite Veneers - Hemet Dental  Center: Brian Stiewel DDS, INC. Hemet California

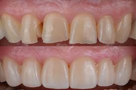
A beautiful smile can enhance your confidence, improve first impressions, and make you feel your very best. If you have chipped, discolored, or uneven teeth, Dental Veneers in Hemet offer a simple yet transformative solution. At Hemet Dental Center, their skilled team provides high-quality, custom veneers that deliver stunning and long-lasting results.

In this article, we’ll explore what dental veneers are, their benefits, the treatment process, and why Hemet Dental Center is the trusted choice for smile makeovers in Hemet.


What Are Dental Veneers?

Dental veneers are thin, custom-made shells crafted from porcelain or composite resin. They are bonded to the front surfaces of your teeth to improve their appearance and correct a wide range of cosmetic imperfections. Veneers offer a durable and natural-looking solution for patients looking to transform their smiles without invasive procedures.

Common Issues Corrected by Veneers:

  • Stained or discolored teeth that don’t respond to whitening.
  • Chipped, cracked, or broken teeth.
  • Gaps between teeth.
  • Uneven, misshapen, or worn-down teeth.
  • Minor misalignments that don’t require braces.

Benefits of Dental Veneers

Choosing Dental Veneers in Hemet provides numerous advantages, making them one of the most popular cosmetic dental treatments:

  1. Natural Appearance
    • Veneers are designed to mimic the color, translucence, and shine of natural teeth for a seamless look.
  2. Fast and Effective Transformation
    • In just two to three visits, veneers can completely enhance the appearance of your smile.
  3. Stain Resistance
    • Porcelain veneers are highly resistant to stains, keeping your smile bright for years.
  4. Durability
    • With proper care, veneers can last 10–15 years or longer, offering a long-term cosmetic solution.
  5. Minimally Invasive Procedure
    • Only a thin layer of enamel is removed to prepare the teeth for veneers, preserving much of your natural tooth structure.
  6. Customized for You
    • Each veneer is carefully crafted to fit your unique smile goals, ensuring a perfect fit and natural results.

Are You a Candidate for Dental Veneers?

If you are unhappy with the appearance of your smile, veneers may be the ideal solution. You might be a good candidate for Dental Veneers in Hemet if:

  • You have healthy gums and teeth.
  • Your teeth are free from severe decay or infection.
  • You want to address cosmetic issues such as stains, chips, or gaps.
  • You are looking for a long-term solution to enhance your smile.

At Hemet Dental Center, the team will perform a thorough evaluation to determine if veneers are the best option for achieving your smile goals.


The Dental Veneer Process

Getting dental veneers at Hemet Dental Center is a straightforward process that delivers dramatic results. Here’s what to expect:

  1. Initial Consultation
    • During your first visit, your dentist in Hemet will assess your teeth, discuss your smile goals, and determine if veneers are the right treatment for you.
  2. Preparation
    • A small amount of enamel is gently removed from the front surfaces of your teeth to create space for the veneers. Impressions or digital scans are then taken to design your custom veneers.
  3. Veneer Fabrication
    • Your veneers are crafted in a dental lab using high-quality materials to ensure they match your desired shape, size, and color.
  4. Placement and Bonding
    • Once the veneers are ready, your dentist will carefully bond them to your teeth using a strong adhesive, ensuring a perfect fit and natural look. Adjustments are made to guarantee your comfort and satisfaction.
  5. Final Results
    • After placement, you’ll walk out with a transformed smile that looks stunning and feels completely natural.

Caring for Your Dental Veneers

With proper care, veneers can last for many years while maintaining their beauty and functionality. Follow these tips to keep your veneers looking their best:

  1. Practice Good Oral Hygiene
    • Brush twice a day and floss daily to prevent plaque buildup around your veneers.
  2. Avoid Hard Foods
    • Don’t bite into hard objects like ice, pens, or popcorn kernels, as this can damage your veneers.
  3. Limit Staining Substances
    • While porcelain veneers resist stains, limiting coffee, tea, and tobacco helps keep them looking bright.
  4. Wear a Mouthguard
    • If you grind your teeth or play contact sports, wear a custom mouthguard to protect your veneers.
  5. Attend Regular Dental Checkups
    • Visit Hemet Dental Center for routine cleanings and checkups to ensure your veneers remain in great condition.

Why Choose Hemet Dental Center for Dental Veneers in Hemet?

Hemet Dental Center is a trusted provider of Dental Veneers in Hemet, offering personalized care and exceptional results. Here’s why patients choose their team:

  1. Experienced Cosmetic Dentists
    • The team has extensive experience in designing and placing veneers that enhance each patient’s natural beauty.
  2. State-of-the-Art Technology
    • Advanced tools ensure precise impressions, fabrication, and placement of veneers.
  3. Customized Treatment Plans
    • Every set of veneers is tailored to meet your unique needs, smile goals, and facial features.
  4. Patient-Centered Care
    • The team prioritizes your comfort and satisfaction, delivering beautiful, long-lasting results.
  5. Proven Results
    • Hemet Dental Center has a track record of transforming smiles and boosting patients’ confidence.

Patient Testimonials

Here’s what patients say about their experience with dental veneers at Hemet Dental Center:

  • “My veneers turned out better than I ever imagined. The team was so professional, and I finally have the smile I’ve always wanted!”
  • “I used to hide my teeth in photos, but now I can’t stop smiling. Thank you for giving me back my confidence!”
  • “The process was quick, easy, and completely worth it. My veneers look and feel amazing!”

Conclusion

If you’re looking to enhance your smile, Dental Veneers in Hemet offer a fast, effective, and long-lasting solution. At Hemet Dental Center, their skilled team is dedicated to delivering beautiful, natural-looking results that will leave you feeling confident and proud of your smile.

Schedule your consultation today and take the first step toward achieving the flawless, radiant smile you’ve always dreamed of!

Leave a Comment